Periodontist Las Vegas. We are seeking an associate periodontist for one of. General dentistry, cosmetic dentists, periodontists.
Dental Implants Periodontist in Las Vegas Henderson from www.lvperio.com
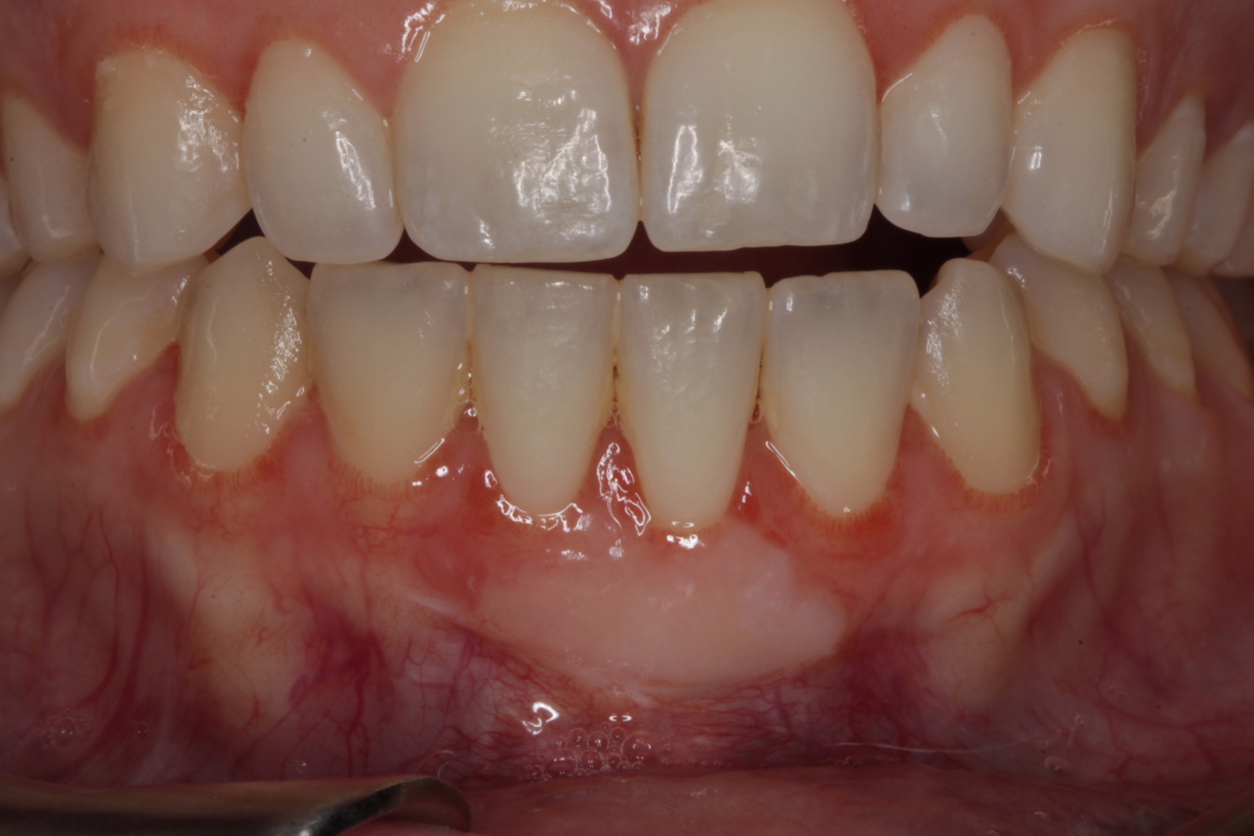
Gum disease is also one of the leading causes for loss of teeth. Las, hue, red b2b marketplace products companies distributors dealers contact At canyon ridge periodontics your smile is our first priority.
Dental Implants Periodontist in Las Vegas Henderson
Please complete your patient forms before your appointment with our periodontists in las vegas and henderson, nevada. Call or visit us today to learn more about periodontics and implant dentistry in las vegas, nevada, and surrounding areas and to schedule your consultation with drs. De andrade, frenulectomy, gum lift, implant dentist las vegas, las vegas periodontist, periodontal disease, ridge augmentation, tongue piercing damage repair, Please complete your patient forms before your appointment with our periodontists in las vegas and henderson, nevada.
car crash north las vegas, accident lawyer in las vegas, accident lawyer las vegas, accident lawyers in las vegas, las vegas accident lawyer, las vegas accident lawyers, wesley park las vegas, money 2020 las vegas 2021, money2020 las vegas 2021, capriotti's las vegas blvd, capriottis las vegas blvd, equinox las vegas, money 20 20 las vegas, money 20/20 las vegas, money 2020 las vegas, travis mathew las vegas, capriotti's north las vegas, auto accident lawyer las vegas, las vegas auto accident lawyer, capriotti's las vegas, capriottis las vegas, las vegas capriottis, phila to las vegas, philly to las vegas, phl las vegas, phl to las vegas, accident attorney las vegas, accident attorneys las vegas, las vegas accident attorney, las vegas accident attorneys, capriottis las vegas locations, capriotti's sandwich shop las vegas, work injury lawyer las vegas, philadelphia to las vegas, capriotti's sandwich shop las vegas nv, rent a tesla las vegas, spirits and spice las vegas, car crash in las vegas, car crash las vegas, las vegas car crash, accident lawyer las vegas nv, how far is las vegas from philadelphia by plane, edge steakhouse menu las vegas, echo park las vegas, echopark las vegas, echopark automotive las vegas, the edge las vegas, phl to las vegas non stop, john varvatos las vegas, las vegas motorcycle accident attorney, american west homes las vegas nv, sandbox vr las vegas, car accident las vegas lawyer, car accident lawyer in las vegas, car accident lawyer las vegas, car accident lawyers las vegas, fresco italiano las vegas, las vegas car accident lawyer, las vegas car accident lawyers, slip and fall lawyer las vegas, room tahiti village las vegas, north las vegas car accident, capriottis las vegas menu, car accident attorney las vegas, las vegas car accident attorney, las vegas car accident attorneys, car accident in las vegas, car accident las vegas, car accidents las vegas, las vegas car accident, las vegas car accidents, capital one cafe las vegas, american west las vegas, juvederm las vegas, fatal car accident las vegas, las vegas fatal car accident, america west homes las vegas, american west home las vegas, auto accident attorney las vegas, las vegas auto accident attorney, emergency ac repair las vegas, furnace repair las vegas, ac company las vegas, las vegas mandalay bay restaurants, mandalay bay las vegas restaurants, mandalay bay restaurant las vegas, mandalay bay restaurants las vegas, restaurants in mandalay bay las vegas, restaurants inside mandalay bay las vegas, map of mgm grand las vegas, mgm grand las vegas map, water damage restoration las vegas, car donation las vegas, 24 hour air conditioning service las vegas, ac repair las vegas nv, slip and fall attorney las vegas, plumbing companies in las vegas, plumbing companies las vegas, ac service las vegas, heating and cooling las vegas, carmel cliff las vegas, workers comp lawyer las vegas, air conditioner replacement las vegas, equinox gym las vegas, car accident lawyer las vegas nv, bowlero las vegas, hayford collection las vegas, plumber north las vegas, air condition repair las vegas nv, air conditioning repair las vegas nevada, air conditioning repair las vegas nv, ac installation las vegas, sell my home las vegas, ac replacement las vegas, sky mesa las vegas, glen lerner las vegas, heater repair las vegas, heating repair las vegas, ac repair in las vegas, las vegas ac repair, providence dental las vegas, candlelight concert las vegas, candlelight concerts las vegas, air conditioner service las vegas, air conditioning service las vegas, las vegas air conditioning service, las vegas plumber, las vegas plumbers, las vegas plumbing, plumber in las vegas, plumber las vegas, plumbers in las vegas, plumbers las vegas, plumbing las vegas, cosmopolitan las vegas discount code, flight from philadelphia to las vegas, flight from phl to las vegas, flight to las vegas from philadelphia, flights from phila to las vegas, flights from philadelphia to las vegas, flights from philly to las vegas, flights from phl to las vegas, flights philadelphia to las vegas, flights to las vegas from philadelphia, phila to las vegas flights, philadelphia to las vegas flight, philadelphia to las vegas flights, philly to las vegas flight, edge steakhouse las vegas, payroll company las vegas, workers comp attorney las vegas, business insurance las vegas, 24 hour plumber las vegas, air conditioner repair las vegas, air conditioning las vegas repair, air conditioning repair las vegas, las vegas air conditioner repair, las vegas air conditioning repair, workers compensation attorney las vegas, the edge steakhouse las vegas, mint collective las vegas, candlelight las vegas, domestic violence lawyer las vegas, las vegas domestic violence lawyer, air conditioning installation las vegas, water heater repair las vegas, hvac service las vegas, pedestrian hit by car las vegas, plumber las vegas nevada, plumber las vegas nv, plumbing las vegas nv, st viator las vegas, garagiste las vegas, caremore las vegas, payroll services las vegas, hvac repair las vegas, cheap plumber las vegas, las vegas truck accident lawyer, best plumbers in las vegas, air condition las vegas, air conditioning las vegas, las vegas air conditioning, rainbow crossing las vegas, ac las vegas, ac tune up las vegas, las vegas probate lawyer, probate lawyer las vegas, probate attorney las vegas, naqvi law las vegas, aire serv of las vegas, homeowners insurance las vegas, emergency plumber las vegas, pure plumbing las vegas, managed it services las vegas, las vegas wrongful death lawyer, las vegas wrongful death lawyers, mandalay bay buffet las vegas, mandalay bay las vegas buffet, core rehab las vegas, home insurance las vegas, most popular plumber in las vegas, cenegenics las vegas, motorcycle insurance las vegas, commercial plumbing las vegas, long distance moving companies las vegas, replacement windows las vegas, window replacement las vegas, water heater installation las vegas, workers compensation lawyer las vegas, veteran garage door repair las vegas, hvac companies las vegas, cosmopolitan las vegas terrace one bedroom, las vegas airport lounge, las vegas airport lounges, loud luxury las vegas, steve aoki las vegas, steve aoki omnia las vegas, debt consolidation las vegas, offerpad las vegas, lerner and rowe las vegas, american veteran garage door repair of las vegas, cosmopolitan las vegas terrace suite fountain view, cosmopolitan las vegas japanese soaking tub, mr rooter las vegas, hvac las vegas, las vegas hvac, cosmopolitan las vegas terrace studio, humana las vegas, wave pool las vegas, lasik vision institute las vegas, we buy houses las vegas, water damage las vegas, verizon wireless las vegas, garage door repair las vegas, garage door repairs las vegas, las vegas garage door repair, bankruptcy attorney las vegas nv, surgical tech salary las vegas, flights to las vegas from phl, phl to las vegas flight, phl to las vegas flights, cosmopolitan las vegas pet policy, las vegas seo services, seo services las vegas, global experience specialists las vegas, dui attorney las vegas nevada, sell my house fast las vegas, best home warranty las vegas, nghtmre las vegas, home warranty companies las vegas, las vegas home warranty companies, bankruptcy lawyer las vegas, business lawyer las vegas, best dui lawyer las vegas, detox las vegas, life insurance las vegas, leak detection las vegas, one hour air conditioning & heating of las vegas, las vegas seo company, seo companies las vegas, seo company las vegas, solar panel installation las vegas, dui lawyer las vegas, dui lawyers in las vegas, dui lawyers las vegas, las vegas dui lawyer, las vegas dui lawyers, las vegas viator, viator las vegas, home warranty las vegas, las vegas lasik, lasik las vegas, aim las vegas, las vegas peacock, water heater las vegas, water heaters las vegas, kassi las vegas, video production company las vegas, renters insurance las vegas nv, yes plumbing las vegas, las vegas production companies, auto service las vegas, dabella las vegas, kassi beach house las vegas, long distance movers las vegas, tide cleaners las vegas, mgm grand las vegas spa, las vegas aerial, mgm theme park las vegas, window companies las vegas, progress residential las vegas, xander 3900 las vegas nv, vitalant las vegas, las vegas rl grime, rl grime las vegas, cosmopolitan las vegas wraparound terrace suite, best home warranty companies las vegas, rain of las vegas, lasik eye surgery las vegas, how long is the flight from boston to las vegas, steinberg las vegas, las vegas renters insurance, renters insurance las vegas, music studios in las vegas, pinot's palette las vegas, family law attorney in las vegas, family law attorney las vegas, family law attorneys in las vegas, las vegas family law attorney, las vegas family law attorneys, alarm system las vegas, divorce attorney in las vegas, divorce attorneys in las vegas, divorce attorneys las vegas, las vegas divorce attorney, las vegas divorce attorneys, las vegas rehabilitation center, home security system las vegas, home security systems las vegas, las vegas bankruptcy attorney, las vegas bankruptcy attorneys, tax lawyer las vegas, celebrity owned restaurants in las vegas, divorce attorney las vegas nv, recuperative care center las vegas, bankruptcy attorney las vegas, del webb north ranch las vegas, how long is flight from las vegas to san diego, las vegas laser hair removal, laser hair removal in las vegas, laser hair removal las vegas, cosmopolitan las vegas boulevard pool, hotels near cosmopolitan las vegas, las vegas crypto, rodent control las vegas, las vegas video production, video production las vegas, anytime plumbing las vegas, airbnb management las vegas, restaurants near mandalay bay las vegas, life insurance companies las vegas, home alarm systems las vegas, how long is the flight from las vegas to seattle, louis vuitton las vegas bellagio, laseraway las vegas, closet design las vegas, mandalay bay las vegas pictures, drain cleaning las vegas, one hour air conditioning las vegas, family law las vegas, family lawyer las vegas, family lawyers las vegas, las vegas family law, flights cancelled today las vegas, how long is a flight from las vegas to chicago, las vegas flights cancelled today, cosmopolitan las vegas map, duct cleaning las vegas, las vegas duct cleaning, pest control north las vegas, cosmopolitan las vegas resort fee, las vegas athletic club corporate office, the learning experience las vegas, las vegas website design, dui attorney las vegas, dui attorneys las vegas, las vegas dui attorney, las vegas dui attorneys, security system las vegas, security systems las vegas, how long is flight from la to las vegas, best divorce lawyers in las vegas, family attorney las vegas, commercial cleaning las vegas, her imports las vegas, precision garage door las vegas, flightaware las vegas, pool fence las vegas, commercial insurance las vegas, cat's meow las vegas, cats meow las vegas, alarm companies in las vegas, las vegas wrongful death attorney, wrongful death attorney las vegas, las vegas handyman & hvac, moving companies in las vegas, moving company in las vegas, wine and paint las vegas, 3900 dalecrest dr las vegas nv 89129, how long is a flight from detroit to las vegas, how long is flight from detroit to las vegas, how long is the flight from detroit to las vegas, how long is the flight from las vegas to houston, home security las vegas, las vegas home security, saphire strip club las vegas, sapphire strip club las vegas, drybar cosmopolitan las vegas, tankless water heater las vegas, las vegas mobile app development, moving companies in las vegas nevada, moving companies las vegas nv, how long is a flight from chicago to las vegas, how long is flight from chicago to las vegas, how long is the flight from baltimore to las vegas, how long is the flight from chicago to las vegas, montblanc las vegas, las vegas tiki bar, tiki bar in las vegas, tiki bar las vegas, tiki bars in las vegas, tiki bars las vegas, mold remediation las vegas, it services las vegas, las vegas it services, livbay lash las vegas, aa terminal las vegas, american airlines las vegas terminal, american airlines terminal las vegas, rat exterminator las vegas, cosmopolitan las vegas pool cabana, lazy dog las vegas nv, las vegas rainfall, medical billing and coding salary las vegas, las vegas comprehensive treatment center, las vegas tax attorney, moving services las vegas nv, tax attorney las vegas, tax attorneys in las vegas, las vegas solar panels, solar panels las vegas, vent cleaning las vegas, disability attorney las vegas, las vegas to san bernardino, sparkletts las vegas, air duct cleaning las vegas, film production companies in las vegas, las vegas pest control companies, pest control companies las vegas, how long is a flight from denver to las vegas, how long is the flight from denver to las vegas, how long is the flight from las vegas to denver, las vegas terminal 3, terminal 3 las vegas, riverside to las vegas, financial advisor las vegas, financial advisors las vegas, las vegas financial advisor, california closets las vegas, ferguson hvac las vegas, how long does it take to fly to las vegas, eye surgery las vegas, water leak detection las vegas, las vegas plumbing inc, how long is the flight from nashville to las vegas, sun country las vegas terminal, recovery las vegas, disability lawyer las vegas, disability lawyers las vegas, las vegas pest control, pest control in las vegas, adp las vegas, cosmopolitan las vegas spa, spa at cosmopolitan las vegas, pest control las vegas nv, las vegas web design, web designer las vegas, 3770 s las vegas blvd, divorce lawyers in las vegas, iron gates las vegas, las vegas divorce lawyer, las vegas divorce lawyers, how long is a flight from las vegas to hawaii, how long is the flight from las vegas to hawaii, how long is the flight from tampa to las vegas, united las vegas terminal, united terminal las vegas, worldwide flight services las vegas, gates las vegas, cosmopolitan las vegas secret pizza, how long is a flight to las vegas, how long is the flight to las vegas, aeropuerto las vegas terminal 3, flight delays las vegas, hawaiian airlines las vegas terminal, hawaiian airlines terminal las vegas, las vegas flight delays, riverside ca to las vegas, precision plumbing las vegas, las vegas verizon, verizon in las vegas, verizon las vegas, estate attorney las vegas, pet insurance las vegas, opendoor las vegas, bankruptcy chapter 7 las vegas, chapter 7 bankruptcy las vegas, umc trauma center las vegas, commercial cleaning services las vegas, cox high speed internet las vegas, trade show booth rental las vegas, las vegas seo, seo las vegas, bellagio las vegas fountain view room, how long is the flight from austin to las vegas, janet airlines las vegas, las vegas atlantic aviation, best laser hair removal las vegas, cosmopolitan las vegas room service menu, cartier las vegas, garage door replacement las vegas, best mortgage lenders las vegas, home loans las vegas, custody lawyer las vegas, custody lawyers las vegas, heloc rates las vegas, las vegas terminal 1, terminal 1 las vegas, cosmopolitan las vegas gym, how long is flight from st louis to las vegas, exterminator las vegas, exterminators las vegas, las vegas exterminator, riverside to las vegas bus, movers las vegas nv, sunrun las vegas, las vegas air duct cleaning services, avelo airlines las vegas terminal, iron works las vegas, best family law attorney las vegas, san bernardino to las vegas, shook and stone las vegas, the firm las vegas, north italia menu las vegas, rain in las vegas, things remembered las vegas, best bar food las vegas, coding bootcamp las vegas, sun country terminal las vegas, las vegas half marathon 2021, las vegas half marathons 2021, abogados en las vegas, servpro las vegas, carpet cleaning las vegas nv, soft surroundings las vegas, wealth management las vegas, how long is a flight from houston to las vegas, how long is the flight from houston to las vegas, rehab las vegas, universal windows las vegas, las vegas moving service, reset iv las vegas, bankruptcy las vegas, fast affordable air las vegas, renewal by andersen las vegas, how long is a flight from memphis to las vegas, medical coding salary las vegas, cosmo las vegas pool, best realtors in las vegas, cosmopolitan las vegas shops, bus from san bernardino to las vegas, comprehensive cancer center las vegas, locksmith las vegas near me, locksmith near me las vegas, las vegas city attorney, las vegas solar, las vegas solar companies, solar companies in las vegas, solar companies las vegas, solar company las vegas, solar las vegas, frazee paint las vegas, movers in las vegas nv, home appraisal las vegas, fast food near me las vegas, upack las vegas, arrivals las vegas, las vegas arrivals, internet providers in north las vegas, internet providers north las vegas, lawn service las vegas, ahern las vegas, divorce laws in las vegas, las vegas divorce laws, movers in las vegas, moving in las vegas, icsc las vegas 2022, small business accountant las vegas, sr22 insurance las vegas, las vegas seo expert, lawn care services las vegas, termite inspection las vegas, local moving companies las vegas, mold removal las vegas, cheap moving companies las vegas, lawn maintenance las vegas, reddy ice las vegas, best movers in las vegas, business attorney las vegas, las vegas business attorney, methadone clinic las vegas, landmark recovery las vegas, paris las vegas sports book, rentprogress las vegas, carpet cleaning north las vegas, las vegas water softener, water softener las vegas, water softeners las vegas, best moving companies las vegas, internet marketing las vegas, best solar companies in las vegas, best solar company in las vegas, terra luna ridge las vegas, ced greentech las vegas, cit bank las vegas, tile cleaning las vegas, nevada dentistry & braces las vegas, bankruptcy court las vegas, custom closets las vegas, chelsea tower las vegas, lawn care las vegas, trade show companies las vegas, phoenix university las vegas, university of phoenix las vegas, las vegas braces aliante, parole and probation las vegas, las vegas solar power, solar power las vegas, precision air las vegas, samaritan house las vegas, state farm las vegas nv, vision works las vegas, las vegas business lawyer, las vegas skin & cancer center, black book las vegas, las vegas black book, ac pro las vegas, amex las vegas lounge, proud moments las vegas, center for behavioral health las vegas, las vegas mortgage, quay las vegas, celebrate recovery las vegas, business loans las vegas, airport lounge las vegas, garage door installation las vegas, ideal image las vegas, local movers las vegas, roofing contractors las vegas nv, auto locksmith las vegas, resolutions las vegas, locksmith north las vegas, abc hyundai las vegas, invisalign las vegas, las vegas skin and cancer center, best pest control las vegas, nextgen las vegas, jck las vegas, how long is the flight from seattle to las vegas, las vegas law firm, las vegas law firms, law firm las vegas, law firms in las vegas, law firms las vegas, coolsculpting las vegas, cosmopolitan las vegas bungalow, las vegas coolsculpting, las vegas to riverside ca, forklift rental las vegas, cool sculpting las vegas, center for sight las vegas, tax services las vegas, liberty square townhomes las vegas, floor cleaning las vegas, las vegas usa casino $100 no deposit bonus codes 2021, massage schools las vegas, math tutor las vegas, math tutoring las vegas, knight transportation las vegas, cosmopolitan spa las vegas, planet hollywood las vegas sports book, bookkeeping services las vegas, silver gold bull las vegas, forever 21 las vegas strip, vdara spa las vegas, las vegas trauma center, estate planning attorney las vegas, massage schools in las vegas, online schools in las vegas, las vegas to barstow, aflac las vegas, pigeon control las vegas, las vegas to victorville, solar energy las vegas, las vegas skin and cancer clinic, las vegas skin and cancer clinics, hard drive recovery las vegas, ncc las vegas, same day movers las vegas, anaheim to las vegas bus, national home warranty las vegas, window treatments las vegas, interior painters las vegas, interior painting las vegas, blinds las vegas, mover van lines las vegas, budget blinds las vegas, richard harris law firm las vegas, soft water system las vegas, image dental las vegas, a1 garage door las vegas, chainsmokers las vegas, the chainsmokers las vegas, siding companies las vegas, chabad las vegas, closet world las vegas, quicken loans las vegas, ferguson las vegas hvac, lyft in las vegas, insurance broker las vegas, it companies in las vegas, kelly hawkins physical therapy las vegas, the chelsea at the cosmopolitan of las vegas, hvac supply las vegas, scorpion exterminator las vegas, carpet cleaner in las vegas, carpet cleaner las vegas, carpet cleaners in las vegas, carpet cleaners las vegas, carpet cleaning in las vegas, las vegas carpet cleaner, las vegas carpet cleaners, las vegas carpet cleaning, revive las vegas, aqua tots las vegas, eating in the dark las vegas, preventive pest control las vegas, las vegas sewer services, vogue recovery center las vegas, five star moving las vegas, state farm insurance las vegas, electrician las vegas nv, homies las vegas, best carpet cleaning las vegas, digital marketing agency las vegas, victorville ca to las vegas, exterior painters las vegas, exterior painting las vegas, security screen doors las vegas, how long flight from miami to las vegas